Skip to content Skip to sidebar Skip to footer

Why Can I See Through My Teeth: Understanding Dental Translucency and Causes

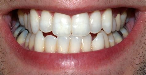
Why Can I See Through My Teeth

Curious about why you can see through your teeth? Discover the reasons behind this phenomenon and learn more about dental health.

Have you ever wondered why you can see through your teeth? It's a perplexing phenomenon that has left many people scratching their heads. How is it possible for something as solid and opaque as teeth to appear transparent? In this article, we will delve into the fascinating science behind this optical illusion, uncovering the reasons why our teeth sometimes seem translucent. Prepare to be captivated by the secrets hidden within your pearly whites!

First and foremost, it's important to understand that not all teeth are transparent. In fact, most teeth appear completely opaque, with their white enamel providing a solid barrier that conceals the inner layers. However, there are instances when teeth may appear translucent, giving rise to the illusion of transparency. This phenomenon is most commonly observed in children, whose teeth are still developing and may have thinner enamel layers. The thinness of the enamel allows light to pass through it, resulting in the illusion of transparency.

But thin enamel is not the only culprit behind this optical illusion. Another factor that plays a significant role is the structure of our teeth. Teeth are composed of various layers, including enamel, dentin, and pulp. Enamel, the outermost layer, is the hardest substance in the human body and is responsible for protecting the inner layers. Dentin, on the other hand, is a yellowish material that lies beneath the enamel and makes up the majority of a tooth's structure. Unlike enamel, dentin is not completely opaque and can allow some light to pass through it.

Furthermore, the appearance of transparency in teeth can also be influenced by external factors such as lighting conditions. Under certain lighting conditions, especially when light is shining directly on the teeth, the reflection and refraction of light can create the illusion of transparency. This can be particularly noticeable in photographs, where the camera flash or other artificial lighting sources can enhance the translucent appearance of teeth.

It is also worth noting that certain dental conditions and treatments can contribute to the illusion of transparent teeth. For instance, tooth erosion caused by acidic foods or excessive brushing can lead to the thinning of enamel, making the teeth appear more translucent. Similarly, dental procedures such as teeth whitening or the placement of dental veneers can alter the appearance of teeth, potentially increasing their transparency.

While the phenomenon of seeing through one's teeth can be intriguing, it is important to remember that it is just an illusion. Our teeth are solid structures that serve vital functions such as biting, chewing, and speaking. So, the next time you catch a glimpse of what seems like transparent teeth in the mirror, rest assured that it is simply a trick of the light and not a cause for concern. Embrace the uniqueness of your teeth, whether they appear opaque or occasionally give the illusion of transparency!

In conclusion, the ability to see through our teeth can be attributed to a combination of factors, including thin enamel, the structure of teeth, lighting conditions, and certain dental conditions or treatments. Understanding the science behind this optical illusion can help dispel any confusion or concerns about the transparency of our teeth. So next time someone asks why you can see through your teeth, you can confidently explain the fascinating reasons behind this phenomenon!

Introduction

Many individuals may have experienced the peculiar phenomenon of being able to see through their teeth. This inexplicable ability can be both fascinating and concerning, leading many to question the underlying reasons behind this occurrence. In this article, we will explore the various factors that contribute to this phenomenon and shed light on why some people can see through their teeth.

The Composition of Teeth

Understanding the composition of teeth is essential in comprehending why they may appear translucent. Human teeth are composed primarily of three layers: enamel, dentin, and pulp. Enamel, the outermost layer, is responsible for protecting the underlying structures of the tooth. Dentin lies beneath the enamel and provides support and structure to the tooth. Lastly, the pulp contains nerves and blood vessels that keep the tooth alive and sensitive. The varying density and transparency of these layers play a significant role in the visibility of teeth.

Enamel Thickness

The thickness of the enamel layer is a crucial factor in determining whether teeth appear transparent. Enamel naturally varies in thickness between individuals, and those with thinner enamel are more likely to experience the phenomenon of seeing through their teeth. Thin enamel allows light to pass through and reach the dentin layer, which can give the teeth a translucent appearance.

Dentin Transparency

Beneath the enamel lies the dentin layer, which contributes to the overall appearance of teeth. Dentin is naturally yellowish and can become more apparent if the enamel layer is thin or eroded. When light passes through the translucent enamel and interacts with the dentin, it can create the illusion of seeing through the teeth.

Genetic Factors

Genetics also play a role in the transparency of teeth. Some individuals may inherit genes that result in thinner enamel or more translucent dentin. These genetic factors can make it more likely for an individual to see through their teeth. Additionally, genetic conditions or abnormalities may impact the development of tooth enamel, further contributing to the transparency of teeth.

Age and Wear

As we age, our teeth naturally undergo wear and tear. Over time, the enamel layer can become thinner due to factors such as brushing too forcefully or consuming acidic foods and beverages. This gradual erosion of enamel can lead to increased transparency of teeth, allowing individuals to see through them.

Dental Conditions

Certain dental conditions can also contribute to the ability to see through teeth. For instance, conditions like enamel hypoplasia, which is characterized by insufficient enamel formation, can result in teeth appearing translucent. Similarly, amelogenesis imperfecta, a genetic disorder affecting enamel formation, can cause the teeth to be more transparent.

Dental Erosion

Acidic substances, such as citrus fruits, sodas, or frequent vomiting associated with certain medical conditions, can erode tooth enamel over time. Dental erosion not only makes teeth more susceptible to cavities but can also contribute to their transparency. The loss of enamel exposes the dentin layer, making it more visible and leading to the appearance of seeing through the teeth.

Treatment Options

If the transparency of teeth becomes a concern or affects one's self-confidence, several treatment options are available. Cosmetic dentistry procedures, such as dental bonding or veneers, can be used to improve the appearance of teeth by covering the translucent areas. In severe cases, where enamel erosion is significant, dental crowns may be recommended to restore both the aesthetics and functionality of the teeth.

Prevention and Maintenance

Taking preventive measures and maintaining good oral hygiene can help minimize enamel erosion and maintain the natural appearance of teeth. Avoiding or limiting the consumption of acidic foods and beverages, using a soft-bristled toothbrush, and practicing proper brushing and flossing techniques are essential in preserving enamel thickness and reducing the likelihood of seeing through the teeth.

Conclusion

The ability to see through one's teeth can be attributed to various factors, including enamel thickness, dentin transparency, genetic predisposition, age-related wear, and dental conditions. While this phenomenon may be intriguing, it is essential to remember that the visibility of teeth does not necessarily indicate a dental problem. However, if it becomes a concern, consulting with a dental professional can provide guidance on suitable treatment options or preventive measures to maintain healthy and aesthetically pleasing teeth.

Why Can I See Through My Teeth?

Dental enamel is the outermost layer of the teeth, and it is naturally semi-transparent. This transparency allows some light to pass through, making teeth appear slightly translucent in certain lighting conditions. However, several factors can enhance the ability to see through the teeth and give them a see-through appearance.

1. Transparent dental enamel

The transparency of dental enamel is a natural characteristic of teeth. Enamel is composed of tightly packed mineral crystals, which create a smooth and shiny surface. This smooth surface allows some light to pass through, giving teeth a slight translucency.

2. Thin enamel layer

The thickness of the enamel layer can vary among individuals. Some people naturally have thinner enamel, which enhances the ability to see through the teeth. Thinner enamel can be caused by factors such as genetics, enamel erosion, or grinding of the teeth.

3. Enamel wear and erosion

Over time, tooth enamel can wear down due to various factors. Aging, acid erosion from acidic foods and beverages, aggressive tooth brushing, or tooth grinding can all contribute to enamel wear and erosion. As the enamel becomes thinner or erodes in certain areas, light can penetrate more easily, increasing the visibility of what lies beneath the enamel layer.

4. Dentin visibility

Beneath the enamel layer lies the dentin, a yellowish substance that comprises the majority of the tooth structure. Dentin is more opaque than enamel, but if the enamel layer is thin or eroded, the yellowish color of the dentin becomes more visible, giving the teeth a see-through appearance.

5. Enamel hypoplasia

Enamel hypoplasia refers to a condition where the enamel layer of the teeth is underdeveloped or incomplete. This can result in teeth appearing translucent, as the enamel is not fully formed. Enamel hypoplasia can occur due to genetic factors, nutritional deficiencies, or certain medical conditions.

6. Dentinogenesis imperfecta

Dentinogenesis imperfecta is a genetic disorder that affects the formation of dentin, causing it to be discolored and translucent. This condition can lead to teeth that appear see-through, as the abnormal dentin layer is more visible through the enamel.

7. Enamel microcracks

Microscopic cracks or fractures in the enamel layer can contribute to the transparency of teeth. These cracks can be caused by excessive force, trauma, or wear and tear. Light can seep into these cracks, resulting in a see-through effect.

8. Dental restorations

Certain dental restorations, such as porcelain veneers, crowns, or bonding materials, can be made to mimic the natural appearance of teeth. These restorations are often designed to have some level of translucency to create a more lifelike appearance. However, this can also contribute to a see-through effect in certain lighting conditions.

9. Dental fluorosis

Dental fluorosis is a condition that occurs due to excessive fluoride consumption during tooth development. While mild fluorosis appears as white flecks or spots on the teeth, severe fluorosis can cause enamel to become pitted and more translucent, hence leading to teeth appearing see-through.

10. Aging factors

As we age, our teeth naturally undergo changes. Over time, the enamel layer may wear down, dentin can become more visible, and teeth can become more translucent. These age-related changes can contribute to the ability to see through the teeth to a certain extent.

In conclusion, the ability to see through teeth can be influenced by various factors such as the transparency of dental enamel, thin enamel layers, enamel wear and erosion, dentin visibility, enamel hypoplasia, dentinogenesis imperfecta, enamel microcracks, dental restorations, dental fluorosis, and aging factors. Understanding these factors can help individuals gain insight into why their teeth may appear see-through and seek appropriate dental care if necessary.

Why Can I See Through My Teeth?

Introduction

Have you ever wondered why you can see through your teeth? It might seem peculiar, but there is a scientific explanation behind this phenomenon. In this story, we will explore the reasons and shed light on the fascinating nature of human teeth.

The Structure of Teeth

Teeth are composed of multiple layers, each with its own unique properties. The outer layer is called enamel, which is the hardest substance in the human body. Beneath the enamel lies the dentin, a yellowish tissue that makes up the majority of the tooth. Finally, at the core of the tooth, we find the pulp chamber, which houses nerves, blood vessels, and connective tissues.

X-Ray Vision

The ability to see through your teeth is primarily due to X-rays. X-rays are a form of electromagnetic radiation that can penetrate certain materials, including dental structures. When X-rays pass through your teeth, they interact differently with the various layers present.

X-Rays and Enamel

Enamel is almost completely transparent to X-rays, allowing them to pass through with ease. This transparency is a crucial factor in dental X-rays, as it enables dentists to examine the underlying structures of teeth and identify any potential issues such as cavities or root infections.

Dentin and X-Rays

While enamel is transparent to X-rays, dentin is not. Dentin absorbs some of the X-ray energy, resulting in a decreased intensity of radiation as it passes through the tooth. This absorption gives dentin its characteristic opaque appearance on X-ray images.

The Pulp Chamber

The pulp chamber, located at the center of the tooth, contains soft tissues that are highly sensitive to X-rays. This sensitivity allows dentists to assess the health of the dental pulp and identify conditions such as inflammation or infection.

Conclusion

So, the next time you find yourself wondering why you can see through your teeth, remember that it is all thanks to the fascinating properties of dental structures and the interaction of X-rays with different layers. Our teeth provide a glimpse into our oral health, allowing dental professionals to diagnose and address any concerns effectively.

Keywords:

  • See through teeth
  • Structure of teeth
  • Enamel
  • Dentin
  • Pulp chamber
  • X-rays
  • Transparency
  • Opaque appearance
  • Dental X-rays
  • Oral health

Closing Message: Understanding the Phenomenon of Seeing Through Teeth

Thank you for taking the time to delve into the fascinating world of dental transparency with us. We hope that this article has shed some light on the perplexing question of why some individuals can see through their teeth. As we conclude this discussion, let us recap the key points covered throughout the article.

First and foremost, it is essential to recognize that the ability to see through teeth is not a common occurrence. It is a rare phenomenon that only a small percentage of people experience. If you are one of those individuals, understanding the underlying reasons behind this occurrence is crucial.

As we explored in earlier sections, dental transparency can be attributed to various factors. One possible explanation is the presence of thin enamel, which allows light to pass through more easily, resulting in a translucent appearance. Additionally, tooth structure and composition play a significant role in determining the level of transparency. Teeth with a higher concentration of dentin or less mineralization may exhibit greater translucency.

Furthermore, it is important to note that seeing through teeth does not necessarily indicate any immediate dental health concerns. While it may raise aesthetic questions, it does not automatically signify damage or decay. However, if you are concerned about your dental health or notice any changes in the transparency of your teeth, it is always advisable to consult a dental professional for a thorough evaluation.

In our exploration of this phenomenon, we have also touched upon the impact of lifestyle choices on dental transparency. Habits such as excessive consumption of acidic foods or beverages, smoking, and poor oral hygiene practices can contribute to tooth erosion and increased translucency. Therefore, adopting a proactive approach to oral care and making mindful choices regarding diet and habits are crucial in maintaining optimal dental health.

Moreover, it is essential to recognize the psychological impact that dental transparency might have on individuals who experience it. Society often places a great emphasis on perfect smiles and flawless teeth, which can make those with transparent teeth feel self-conscious or insecure. However, it is vital to remember that beauty comes in many forms, and dental transparency should not be a source of shame or embarrassment.

As we conclude this article, we encourage you to embrace the uniqueness of your dental characteristics. Transparent teeth are just one aspect of the vast spectrum of human variation. Remember that proper oral hygiene practices, regular dental check-ups, and a positive mindset towards your dental health are the keys to maintaining a beautiful smile, regardless of its transparency.

We hope that this article has provided valuable insights into the intriguing phenomenon of seeing through teeth. Your curiosity and engagement in understanding dental health are commendable. If you have any further questions or topics you would like us to explore, please feel free to reach out. Thank you for being a part of our community, and we look forward to sharing more informative and thought-provoking content with you in the future.

Stay curious, stay informed, and keep smiling!

Why Can I See Through My Teeth?

1. What causes teeth to appear transparent?

There are several reasons why your teeth may appear transparent or see-through. One common cause is enamel erosion. Enamel is the protective outer layer of your teeth, and when it wears away, it can make your teeth look translucent. This erosion can be caused by factors such as acidic foods and drinks, tooth grinding, aggressive brushing, or certain medical conditions.

Another possible reason for transparent teeth is tooth decay. When cavities develop, they can weaken the structure of the tooth, causing it to look more translucent. Additionally, certain genetic conditions or a lack of proper dental hygiene can contribute to teeth appearing see-through.

2. Is it normal to have transparent teeth?

No, having transparent teeth is not considered normal. Transparent teeth often indicate an underlying dental issue, such as enamel erosion or tooth decay. It is important to consult with a dentist if you notice your teeth becoming translucent, as it could be a sign of potential oral health problems.

3. Can transparent teeth be fixed?

In many cases, transparent teeth can be treated or improved. The appropriate treatment will depend on the underlying cause of the transparency. If enamel erosion is the culprit, your dentist may recommend using fluoride treatments, dental bonding, or veneers to restore the appearance of your teeth. If tooth decay is the issue, your dentist can provide necessary treatments such as fillings or dental crowns to repair the affected teeth.

It is crucial to address the underlying cause of transparent teeth to prevent further damage and maintain good oral health. A dentist will be able to assess your situation and recommend the most suitable treatment options for you.

4. How can I prevent my teeth from becoming transparent?

To prevent your teeth from becoming transparent, it is essential to practice good oral hygiene. This includes brushing your teeth twice a day with a soft-bristled toothbrush and fluoride toothpaste, flossing daily, and using mouthwash. Avoiding acidic foods and drinks, such as citrus fruits and carbonated beverages, can also help protect your tooth enamel.

Additionally, it is important to visit your dentist regularly for check-ups and professional cleanings. Your dentist can identify any early signs of enamel erosion or tooth decay and provide appropriate guidance and treatment to prevent further transparency of your teeth.

In conclusion,

Transparent teeth can be a cause for concern and may indicate underlying dental problems. Enamel erosion, tooth decay, and other factors can contribute to the transparency of teeth. It is crucial to consult with a dentist if you notice your teeth becoming see-through to determine the exact cause and receive appropriate treatment. By practicing good oral hygiene and seeking professional dental care, you can minimize the risk of developing transparent teeth and maintain a healthy smile.